Call Us:
1-878-208-7121
9117 Marshall Road, Cranberry Township, PA 16066
Dental Appointments By Referral Only
Mon - Thu: 7:30 AM - 4:30 PM
Fri - Sun: CLOSED

Dental Services

Animal Dental Clinic of Pittsburgh, LLC offers the following dental procedures:


Diagnosis and treatment of oral and dental diseases

x-ray of dogs mouth
dogs teeth
dental damage


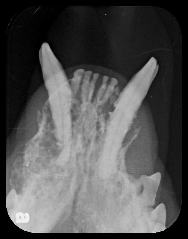
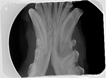
Dental radiography

complicated and surgical extraction x-ray
complicated and surgical extraction x-ray
complicated and surgical extraction x-ray


Complicated and surgical extractions

complicated and surgical extraction x-ray
complicated and surgical extraction x-ray
complicated and surgical extraction x-ray
complicated and surgical extraction x-ray
complicated and surgical extraction x-ray
Dogs Mouth
Surgical work
complicated and surgical extraction x-ray
extracted teeth


Advanced periodontal treatments and oral surgery

​​​​Advanced periodontal
​​​​Advanced periodontal disease
​​​​Advanced periodontal disease
​​​​Advanced periodontal x-ray
​​​​Advanced periodontal treatments and oral surgery


Endodontics (root canals, pulp therapies)

Endodontics
Endodontics
Endodontics
Endodontics
Root Canal


Management of Feline and Canine Stomatitis

feline stomatitis
feline stomatitis
Canine stomatitis
Canine stomatitis
feline stomatitis


Restoratives and Crowns

Restoratives
Crowns


Limited orthodontics

Orthodontics
Orthodontics


Dental treatment on high-risk anesthesia cases

Dr. Krista Mendoza was diagnosed with a serious medical issue requiring involved surgery and recovery time. She and her staff will be out of the office from Monday, April 13, 2026, with a planned return date of July 13th, 2026. Unfortunately, this means we cannot accept dental referrals, and all of the appointments and procedures scheduled during this time need to be canceled and either rescheduled, performed by your primary vet, or sent to another veterinary dentist in the area:

1) Dr. Kanwal at VCA Great Lakes, Cleveland, OH,
2) Dr. Berning at Veterinary Dentistry & Oral Surgery of Ohio in Columbus, OH,
3) The Animal Dental Center in York, PA, or
4) Veterinary Dental Specialists in Chadds Ford, PA.

Dr. Mendoza and her team appreciate your patience and understanding during this difficult time.  
***If your pet has a dental emergency, please contact your Primary Vet, visit a Veterinary Urgent Care (RiversSafe Haven), or go to an Emergency Clinic (Blue PearlVEGAVETSMEDVET or VEG in Cranberry).